Jmenuji se Gábina a je mi 22 let. Můj příběh popíšu pouze ve zkratce. Se sundavacími rovnátky jsem měla zkušenosti již v dětství, kolem dvanáctého roku. Bohužel, jak se dalo i předpokládat, jsem rovnátka nosila pouze jen ze začátku. To je hrozná nevýhoda nasazovacích rovnátek, neboť to člověka nedonutí nosit 24 hodin denně a může si je kdykoliv sundat. V té době mi byly navrhnuty následně fixační rovnátka, ale o tom jsem nechtěla vůbec slyšet. Ta představa něčeho kovového napevno přidělaného na mých zubech mě prostě odstrašovala. Mé konečné slovo znělo "NE". Takže výsledek rovnání byl skoro nulový. Akorát moji rodiče byli o nějakou tu tisícovku chudší. Už v té době byly nasazovací rovnátka přeci jen drahou záležitostí.
Já s rovnátky:
Ale abych přešla k věci. Pochopila jsem až v mých jednadvaceti letech, že se fixním rovnátkům nevyhnu a to v té době, kdy mi k nerovnosti zubů přispěla další věc, a to byly zuby moudrosti. Narostly mi všechny 4, ale bohužel si udělaly prostor na úkor předních zubů, což mělo za následek ještě nevzhlednější vzhled mého chrupu - u horních zubů jsem měla oba špičáky vytlačené ven a postupně se mi začala křivit i levá jednička, která zase tlačila na levou dvojku a to samé se vesměs stalo i s dolními. Mno prostě a jednoduše závěr byl takový, že takhle to nechat nemůžu a musím s tím začít něco dělat a hned, než si to rozmyslím 8).
Hned druhý den jsem šla k mému zubaři a ten mi napsal doporučení k ortodontistovi. První návštěva ortodontisty proběhla v celku v pořádku.Veškeré otázky mi byly zodpovězeny,akorát jsem byla zaskočená tím, že moje léčba by nevyžadovala žádné trhání zubů. Naopak jsem si myslela, že to bude hned to první, co by mě čekalo. Nechápala jsem, jak mi tam chce všechny ty zoubky natlačit. Proto jsem si pro jistotu chtěla poslechnout ještě jeden názor jiného ortodontisty. A ten se shodoval. Tak jsem si řekla, že ví, co dělají a šla jsem do toho.
horní zuby před nasazením rovnátek:

Nejdříve mi nasazovali pouze horní rovnátka a spodní po půl roce. Separační gumičky a samotné nasazení byla docela hračka. Pouze ten první týden po nasazení byl trochu více náročnější. Přeci jen na zuby nebyl nikdy vynakládán takový tlak a proto zuby byly z počátku hodně citlivé, ale to se časem opět urovnalo. Horní fixy mi nasazovali 17.10.2007 a plus k tomu jsem dostala na patro takový kovový oblouk, který právě vyvrátil mé obavy z toho, že se mi tam zoubky nevejdou. Asi po 3 měsících byl znát hrozný rozdíl. Tento oblouk mi natolik rozšířil horní patro, že nakonec jsem měla a ještě mám mezi zuby mezery 8).
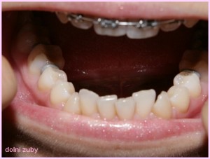
Po půl roce přišly na řadu dolní zuby. Nasazení opět proběhlo v pořádku a hlavně jsem už věděla, co mě čeká.

17.10.2008 to byl přesně rok, co mám fixní rovnátka a musím říct, že je to neskutečná změna. Jak u horních tak i u dolních zubů. Jak jsem již psala, jsem v takovém stadiu, kdy mi naopak teď zuby stahují k sobě, abych neměla žádné mezery a měla jsem správný skus.
A na ukázku pár fotek mého již skoro dokonalého chrupu 8))))))))))))))). Fotky budu postupně dodávat.





Já už s rovnátky. Stejně je to na té puse znát.. :

Asi na závěr bych chtěla říct, že jsem hrozně ráda, že jsem tohle všechno podstoupila a jsem na sebe opravdu pyšná. A nemůžu se dočkat dne, kdy mi rovnátka sundají. To bude pro mě ta největší odměna za to, čím vším jsem si musela projít a vydržet.
KRÁSNÝ ÚSMĚV ZA TO URČITĚ STOJÍ..!
♥♥♥♥
18. února proběhla další kontrola u mého ortodontisty. Ani nevím, jak dlouho budu ještě tu kovovou věcičku v puse mít. Kdykoliv se zeptám, tak se mi dostane odpovědi: „Až se vdáte,až se vdáte“. Vtipný je, to se musí nechat, ale ani si nedokáže představit, jak moc mě to zajímá. Čekám na kloudnou odpověď jak na smilování.8)
Ale podle mého názoru to vypadá, že si ještě nějaký ten pátek budu muset počkat.8( Je to proces, který se nedá urychlit. Teď v dubnu to bude rok a půl co mám horní fixy a dolní rok.Je neskutečné, jak rychle to utíká. No abych přešla k věci - myslím, že všechny zoubky jsou už na správném místě. Zbývá jen malé dolaďování. Pořád mi přijde, že mám pravou jedničku výš jak levou. A bohužel na pravé jedničce mám kus skloviny uštípnuté, což na vzhledu taky nepřidává. Není to moc vidět, ale mě osobně to vadí. A nejsem sama, komu se to nelíbí. I sám ortodontista, který je mimochodem izraelského původu 8), je stejného názoru. Takže jako bonus k rovnání budu mít dodělání a nastavení pravé jedničky. Pak jako další malý nedostatek vidím dolní zuby, co se týče opět nestejnoměrné výšky. Takže bude podle mě potřeba ještě broušení. Ale jak píši, to jsou už podle mého názoru jen malé estetické vady na kráse.8)
Opět přikládám nějaké foto na shlédnutí:




•••
Tak 30. září 2009 proběhla, pro mě, velmi důležitá kontrola, neboť jsem se měla dozvědět, zda mi budou sundány horní fixy. A DOČKALA JSEM SE!!!!!!! Neskutečný pocit. Myslím, že skoro po dvou letech je to opravdu zasloužené. O tři dny později nastal můj den "D". Nemohla jsem ani dospat a počitala snad každou hodinu. Ve zkratce - samotné sundání voubec nebolí... možná jen trošku malinkatej tlak, kdybych to měla popsat. Ale ten divnej pocit po sundaní. Jak kdyby mi v puse něco chybělo. Samozřejmě, že po sundání fixů následuje leštění a broušení cementu ze zubů aby nebyl povrch hrubý. A pak moment, kdy pan doktor s dotazem, zda mi může podat zrcátko a mohu vidět ty moje tesáky na vlastní oči. Ten kdo fixy měl tak ví jakej je to nepopsatelnej pocit hrdosti, že to opravdu za to stálo to všechno podstoupit.
Sundáním fixů to ale nekončí. Automaticky mi byly dány nasazovací rovnátka, která musím nosit alespoň 10 hodin denně. První tři dny mě zuby trochu bolely jak jsou jakoby volně a bez žádného tlaku. Ale to už je velká sranda.8) Bohužel dolní fixy pořád mám. Sundání mě čeká asi někdy po Novém roce. To uteče jak voda a až budou sundány i dolní, tak to bude taková ta konečná dokonalost mého chrupu.8)))))
Přikládám opět nějaké foto pro shlédnutí a tímto všem budoucím rovnátkářům držím palce a jen jednou větou mohu z vlastní zkušenosti říci "STOJÍ TO ZA TO"!!!!
Horní zoubky před sundáním:

Po sejmutí aparátku:

S nasazovacími rovnátky:

Fixní aparátek na památku:

Nasazovací rovnátka:

Foceno hned po sejmutí rovnátek - neskutečně krásnej pocit :)

Komentáře
Přehled komentářů
Ahooj ... Nevite nekdo co to jsou nejake vyndavaci gumicky ... Je to pry neco co si ... Ten s rovnatkama nasazuje sam .. Je to pry od spicaku po spicak... Ja sice jeste rovnatka nemam ale celkem se toho bojiim :/ no kdybyste nekdo mnel nejakou fotku s timto udelatkem tak poslete prosiim nebo neco ...dekuju Barca:) ...ps: jesi je to tu dvakrat tak sorrac blbne mi mobil
Re: vyndavaci gumicky??
(jaa :), 4. 4. 2014 21:05)A kdybyste mneli napad na nejake dobre a fakt originalni barevne kombinace humicek tak piste .... Za dva tydny mi je maji dat :)
vyndavaci gumicky??
(jaa :), 4. 4. 2014 20:43)Ahooj ... Nevite nekdo co to jsou nejake vyndavaci gumicky ... Je to pry neco co si ... Ten s rovnatkama nasazuje sam .. Je to pry od spicaku po spicak... Ja sice jeste rovnatka nemam ale celkem se toho bojiim :/ no kdybyste nekdo mnel nejakou fotku s timto udelatkem tak poslete prosiim nebo neco ...dekuju Barca:)
??????
(Zuza, 5. 5. 2009 21:04)ahoj, no krasne se ti to rovna :) jak dlouho je mas jeste mit? jo a prosimte...jak tam mas "tu vec na roztazeni" - nesislas s tim? ja se odhodlavam do rovnatek (23 let:/), ale tady te vecicky se bojim jak cert krize...:)
Re: ??????
(Emilie, 29. 9. 2012 21:24)ahpj muzu se zeptta kolik stoji nasazovaci rovnatka diky kde je koupim
rovnatka
(martina, 22. 3. 2011 20:43)ahojte prosimvas nevite kolik stoji rovnatka jsou drahe že a pojištovna dava jenom 500 no tak malo odepiste
dotaz..
(Gábina, 13. 11. 2010 19:05)Ahoj Gábi a musí se mít rovnátka prvně sundavaci neo mě mohou dát rovnou ty na stálo?,?...A nevíš kolem jaké ceny by stálo horní patro?
rovnatka
(kamila, 15. 4. 2010 21:13)jakou barvu si teda mela mola by si mi prosim napsat na email kamila.06@seznam.cz
pro terku
(natalka, 13. 4. 2010 13:18)no,pokud ti je pres 18 let a platis si ty rovnatka sama, tak by to asi nemel byt problem, ale pokud ti 18 neni a rodice ti ty rovnatka plati, tak to asi nepujde bez souhlasu rodicu.S timhle ti fakt neporadim.Jestli ti doktor rika, ze ty rovnatka musis mit o neco dele, tak to nejspis nerika jen tak.Takze byt tebou poslechnu doktora a jeste to chvilku vydrzim.
sejmutí
(Terka, 3. 4. 2010 21:31)Čauky:)mám takový dotaz...před rokem jsem si mohla vybrat jestli chci fixní rovnátka či ne,jelikož jsem to měla jen kvůli jednomu zubu...a já s tím,že mi doktor řekl že to budu mít jen rok souhlasila...teď v květnu mi to má sundat ale řekl že to musim mít dýl...a já nechápu proč,když zuby mam krásně rovné...tak se chci zeptat,jestli lze požádat o sejmutí dříve,než tedy teď stanovil zubař...máte s tim někdo zkušenosti nebo víte?:)předem díky za odpověď:)
rovnákta
(Gabina, 12. 1. 2010 13:17)
Natalka:
nene nedoplacela...jen mi zoubky zbrousily ale nic navic jsem neplatila.
dodelavani zoubku
(Natalka, 2. 1. 2010 19:25)Ahoj Gabi, jestli ti dodelavali ten zoubek jak si psala, doplacela jsi za to neco??Me nejspis taky budou dodelavat aspon 3 zuby.Tak abych nekoukala, jak pero, kdyz po me budou chtit nejake penize na vic
rovnatka
(Gabina, 2. 12. 2009 23:48)Terka: To me vazne tesi,ze te muj pribeh nabudil.Jedine co nemohu posoudit je ta zminena nakusna desticka.Vsichni o ni pisou hrozne veci takze asi vazne nic prijemneho.Ja mela jen kovovy oblouk,ale nic na co by se nedalo zvyknout.Kazdopadne ver,ze je dobre,ze si do fixu sla.Sice sme to mohli mit uz davnou za sebou to je fakt,jenze k tomu musi taky clovek vyzrat i rozumove.hehe driv to pro me nebylo tak dulezite jako ted kdyz si clovek uvedomi,ze rovne zuby a hlavne zdrave zuby JSOU OPRAVDU ZAKLAD krasneho usmevu.Ale to nejdulezitejsi,ze kdyz jsou zuby srovnane a jeden zub neprekryva druhy tak je min kazu atd...vsechno se vsim souvisi.Nenosila jsem rovnatka jen z estetickeho duvodu ale hlavne kvuli tomu abych jejich zivotnost,jinak receno,byla co nejdelsi a bez kazu.Takze drzim moc palecky a ver,ze tohle za to vazne stoji.
Rovnatka
(Terka, 27. 11. 2009 11:03)Ahoj, jen bych te chtela seznamit s mým přibehem, protože je dost podobný :). V 8. tridě ZŠ mi byly navrhnuty fixní rovnátka, ale já o tom nechtela ani slyset, ted chodim na VŠ a pro rovnátka jsem se rozhodla v lete, mam predkus a velke mezery. Vrchní fixy mam od zaři a ty horní necelych 14 dní :), navíc mam i nakusnou desku a musim rict ze jak mi nasadili, chtelo se mi brečet, jelikoz jsem si rikala, ze jsem to mohla mit uz vse za sebou. No ale nic , ted se tesim az uvidim prvni pokroky k lepsimu. Pišu to protože me tvuj clanek hrozne nabudil a uz ted se tesim az moje zoubky budou rovne, hlavne se tesim az mi sundaji nakusnou desku :). Ty tvoje zoubky jsou opravdu nadherne ;). mej see
8))))
(Gabina, 26. 11. 2009 17:47)Natálka:Dekuju moc...ver ze to utece jak voda.Me ty dva roky utekly jak nic.Taky se dockas.8))))
:-)
(Natalka, 7. 11. 2009 18:20)ty jooooo a ted ti zavidim, ja mam rovnatka rok a jeste dalsi rok minimalne mit budu.Je z tebe kocka, panu doktorovi se to opravdu povedlo !
rovnátka
(...., 1. 10. 2009 16:51)Terinka: niceho se nebat.Vazne.Nasazeni je to posledni ceho se bat.Asi nejhorsi je ten tyden,dva nez si ta pusa na ty rovnatka navykne.To bylo pro me asi nejvic neprijemne.8))))
rovnatka
(Terinka, 5. 9. 2009 15:22)Ahojky mama podobny pripaad co se tyce zoubku . take chodim k izralejkemu ortodontologu. v rijnu me ceka trhani rubu a pote v listopadu nasazeni preparatku. docela se nadnavani bojim a zajimalo by me jak to probyha.
trmen
(Anetka, 9. 8. 2009 17:02)uz to mam jak ti to rict s tim trmenem =) jaky uhel svira trmen a horni zuby? me 90ş a u tebe to vypada na nulu =D teda ja placam nesmysly.
rovnátka
(gabbi, 28. 7. 2009 16:00)
Moc moc dekuju za pochvaly.8)))Ani nevite jakou mi to dela radost.Kazdopadne jsem dlouho na netiku nebyla ale behem dneska dam dohromady par fotek a naky to psani k tomu a poslu to.8)Jinak horni mi sundavaji uz za 2 mesice.Je to neskutecny jak to uteklo. Takze Petro jdi urcite do toho.Stoji to za to a hlavne to teda splnilo svuj ucel coz je to nejpodstatnejsi.8)
Anetka:
nene ten oblouk mi kopiruje jen patro- zuby neee.Doufam ze jsi to takhle myslela.8)
vyndavaci gumicky??
(jaa :), 4. 4. 2014 20:54)